Restore Your Smile with Lasting Stability
Enjoy the comfort, strength, and natural look of implant-supported bridges for multiple missing teeth.
Restoring Strength, Stability, and Confidence
When several teeth are missing, especially in the back of the mouth, a fixed bridge anchored to dental implants offers the most reliable, long-term solution. Unlike traditional removable dentures, implant-supported bridges provide unmatched stability, strength, and comfort.
Benefits of a Fixed Bridge on Implants
The only fixed alternative for multiple missing teeth in the back of the mouth.
Stable and secure – eat comfortably without worry.
Preserves facial structure – helps prevent bone loss and maintains natural appearance.
Long-lasting solution that looks and functions like your natural teeth.
Treatment Process
Step 1: Examination & Planning
Your dentist will perform a thorough exam and imaging to design a treatment plan tailored to your needs.
Step 2: Implant Placement
Dental implants are placed into the jawbone to serve as strong anchors for your new bridge.
Step 3: Fixed Bridge Placement
A custom-made bridge is securely attached to the implants, restoring function and appearance.
Step 4: Enjoy Your New Smile
Your restored teeth will look, feel, and work like natural teeth, giving you confidence to eat and smile again.
OTHER OPTIONS FOR MULTI TEETH REPLACEMENTS
All-on-X Fixed Hybrids
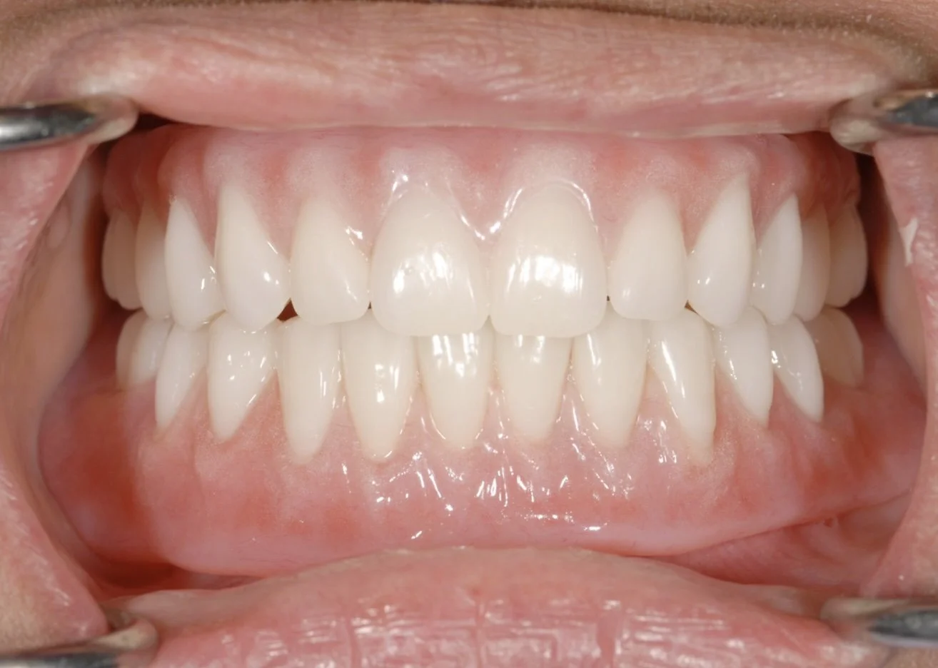
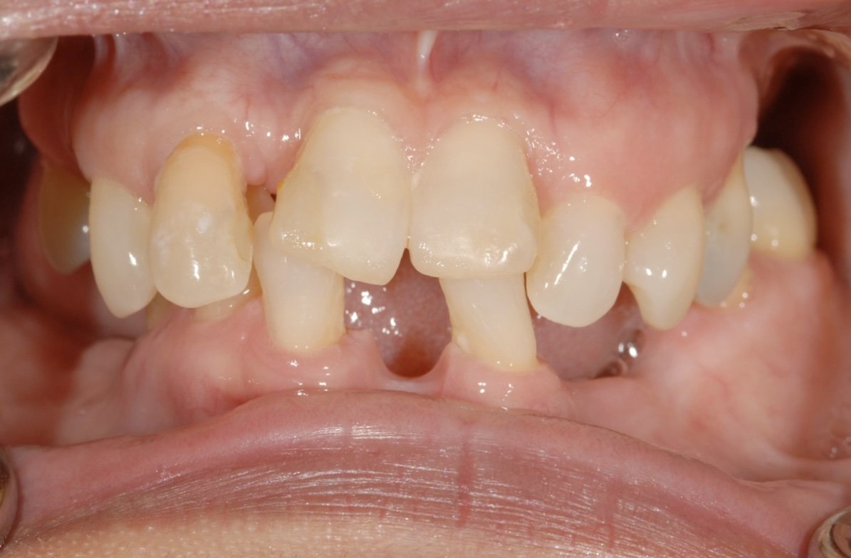
Before
After
This procedure is used to replace a full arch of teeth (upper teeth or lower teeth or both) when they are either missing or cannot be saved due to decay and/or gum disease.
This is a single day procedure which involves placement of 4-6 implants in your jaw bone. The procedure provides a modern solution for extensive tooth loss that provides a stable, secure, and natural-looking alternative to dentures, as the new teeth are anchored directly into the jawbone.
This procedure is done in conjunction with your dentist or a prosthodontist to deliver the best results.
Implant Supported Overdenture
This procedure is also used to replace a full arch of teeth (upper teeth or lower teeth or both) when they are either missing or cannot be saved due to decay and/or gum disease.
This procedure involves placement of 2-4 implants in the jaw bone. A complete denture is provided to you on the same day as the procedure.
After 3-4 months of healing, the denture is modified to connect to the implants. These dentures are more stable and have better function as opposed to simple dentures.
This procedure is done in conjunction with your dentist or a prosthodontist to deliver the best results.
Smile, and Live with Confidence
Our fixed implant solutions provide unmatched security, preserve your jawbone, and keep your smile looking youthful for years to come.
What to Expect
Number of visits: Typically 4–5 appointments after the initial exam until the final bridge is placed.
Recovery: Minor bruising or swelling of the gums is normal and usually managed with over-the-counter pain relief.
Back to normal: Most patients can return to work the very next day.
How long does the entire treatment take?
From start to finish, treatment usually takes a few months to allow the implants to fully integrate with your jawbone. However, many patients receive temporary teeth early in the process, so they can eat and function normally during healing.
Will the procedure be painful?
Implant placement is performed under local anesthesia, so you should feel minimal discomfort during the procedure. Afterward, mild swelling or soreness is common but usually manageable with over-the-counter pain medication.
How long will my implant-supported bridge last?
With proper care and good oral hygiene, implant-supported bridges can last years. Regular check-ups and cleanings help ensure long-term success.
How do I care for my new implants and bridge?
Care for them just like natural teeth—brush twice daily, floss, and schedule routine dental visits. Special cleaning aids may also be recommended to keep the area around your implants healthy.
Can I eat normally with an implant-supported bridge?
Yes! Once the implants have fully healed, you can enjoy most foods without restrictions. The stability of implant-supported bridges allows you to chew comfortably and confidently.

