Gum Grafting
Restoring gum health, protecting your teeth, and enhancing your smile.
What Is Gum Grafting?
Gum grafting (also known as a gingival graft or periodontal plastic surgery) is a surgical procedure designed to cover exposed tooth roots with healthy gum tissue.
Exposed roots can be caused by periodontal disease, thin gum tissues, following orthodontic treatment and/or a combination of teh mentioned conditions. Other factors—such as overly aggressive brushing or trauma—can also contribute. Gum grafting restores gum coverage, protects teeth, and improves both comfort and appearance.
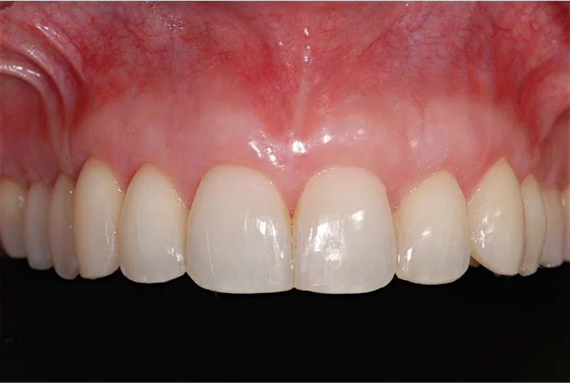
Before
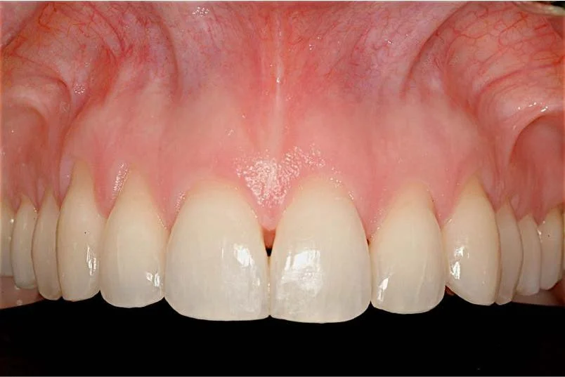
After
Types of Gum Grafting Procedures
Free Gingival Graft
A thin layer of tissue is taken from the palate (roof of the mouth) and placed in the recessed area to thicken gum tissue. Both sites heal quickly without permanent damage.Subepithelial Connective Tissue Graft
The most common procedure for covering exposed roots. Tissue is removed from just beneath the surface of the palate and grafted to the recession site.Acellular Dermal Matrix Allograft
Medically processed donor tissue is used instead of the patient’s own palate tissue, reducing discomfort by avoiding a second surgical site.
Reduced Sensitivity
Exposed roots can cause pain when eating or drinking hot or cold foods. Gum grafting covers roots, easing discomfort and restoring comfort.Improved Appearance
Gum recession can make teeth look long or “toothy.” Gum grafting restores balance, creating a healthier, more natural-looking smile.Healthier Gums
Gum grafting helps prevent further gum and bone loss, protecting teeth and halting the progression of periodontal disease.
Benefits of Gum Grafting
What to Expect During Treatment
Preparation
Before surgery, teeth are thoroughly cleaned to remove tartar and bacteria. Patients also receive guidance on improving at-home oral care.Procedure
Performed under local anesthetic, small incisions are made at the treatment site to prepare for the graft. Depending on the method, tissue is either taken from the palate or provided from a donor source.
Placement & Stabilization
The graft is carefully placed, stabilized with sutures, and covered with protective material to support initial healing.Healing
Most patients heal within six weeks. The graft blends naturally with existing gum tissue, restoring health and appearance.
Rebuild Your Gumline, Restore Your Confidence.
Protect sensitive roots, improve your smile’s appearance, and support lasting oral health with expert gum grafting.
Is gum grafting painful?
The procedure is performed under local anesthesia, so you’ll be comfortable during treatment. Some mild soreness may follow, especially if tissue is taken from the palate.
How long does recovery take?
Initial healing occurs within 1–2 weeks, with full gum integration in about six weeks.
Will the results look natural?
Yes. Gum grafting is designed to restore a natural, healthy gumline while blending seamlessly with surrounding tissue.
Do I need gum grafting for every area of recession?
Not always. Your periodontist will evaluate your case and recommend treatment only where it’s necessary for health or comfort.

