Bone Grafts
Restore lost bone and strengthen your foundation for a healthier smile.
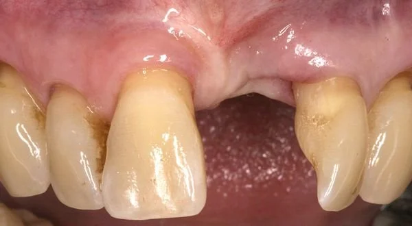
What Is a Bone Graft?
A bone graft replaces missing or deteriorated bone in the jaw with new material—either from your own body, a donor source, or synthetic grafting material.
Over time, your body naturally regenerates bone in the treated area, creating a strong and stable foundation for teeth or future restorations.
Why get a Bone Graft?
Bone grafting is a routine periodontal procedure used to rebuild or strengthen areas of the jawbone that have been weakened by tooth loss, gum disease, or trauma.
This treatment provides the support necessary for dental implants, helps preserve natural facial structure, and protects surrounding teeth from shifting or loosening.
Before
After
1. Preparing for Dental Implants
Dental implants require sufficient bone to anchor securely. A bone graft rebuilds the jawbone, ensuring implants can be safely and successfully placed.
Benefits of Bone Grafting
2. Preserving Facial Structure
When bone loss occurs, it can change facial contours, leading to a sunken or aged appearance. Bone grafting restores natural structure and support.
3. Preventing Further Tooth Loss
A strong jawbone helps keep teeth stable. Rebuilding bone density around existing teeth helps prevent shifting, loosening, or additional tooth loss.
4. Supporting Long-Term Oral Health
Healthy bone tissue improves gum health, strengthens your bite, and enhances the longevity of both natural teeth and restorations.
1. Preparation
Bone grafting is typically performed under local anesthesia, with sedation available if needed. The area is carefully cleaned and prepared for graft placement.
2. Graft Placement
A small incision is made in the gum to access the bone. The grafting material—either natural or synthetic—is placed in the area needing reinforcement and secured in place.
3. Protection and Healing
The site is covered with a protective membrane, and the gums are sutured closed. Over the next few months, your body gradually replaces the graft with new, living bone.
4. Recovery Process
Most patients experience mild soreness or swelling for a few days, easily managed with medication. Full bone regeneration takes several months, after which restorative treatments—like implants—can begin.
What to Expect During the Procedure?
Rebuild Strength. Restore Confidence.
Bone grafting renews the foundation of your smile, preparing your mouth for future restorations and long-term oral health.
Is a bone graft painful?
Bone grafting is performed under local anesthesia, so you won’t feel pain during the procedure. Some mild soreness or swelling afterward is normal and can be managed with over-the-counter or prescribed pain medication. Most patients describe the recovery as very manageable.
Where does the bone graft material come from?
Graft material can come from several safe and effective sources: your own bone, a donor, or a synthetic material designed to encourage new bone growth. Your periodontist will discuss the best option for your needs and comfort.
How long does it take for a bone graft to heal?
Initial healing occurs within 1–2 weeks, but full integration of the graft typically takes several months. During this time, the graft fuses with your natural bone to create a strong, stable foundation for future restorations or implants.
Do I need a bone graft before getting a dental implant?
In some cases, yes. If you’ve experienced bone loss due to tooth extraction, gum disease, or trauma, a graft may be necessary to rebuild the jawbone and provide the support an implant requires for long-term stability.
Will the bone graft look or feel different?
Once healed, the grafted area blends seamlessly with your natural bone. You won’t feel a difference in everyday activities like chewing or speaking.
Can anyone get a bone graft?
Most patients are good candidates, but overall oral health and medical history will be evaluated first. Conditions such as uncontrolled diabetes, smoking, or certain medications may affect healing and need to be discussed with your periodontist.
How do I care for my mouth after a bone graft?
You’ll receive detailed post-operative instructions, which typically include a soft-food diet, gentle rinsing, and avoiding the surgical site while brushing. Follow-up appointments ensure your graft is healing properly.
How long before I can get my dental implant after a bone graft?
Timing depends on the size and location of the graft, but most patients can proceed with implant placement after 3–6 months, once the new bone has fully matured.

